市川市の小児歯科・小児矯正歯科 下総中山アール歯科
お子さんのお口で
気になる点はありませんか?
- 歯が綺麗に生え変わっていない
- 虫歯になりやすい
- 受け口・出っ歯の傾向がある
- ぽかんと口を開けることが多い
- 舌を出す癖がついている
- 頬杖や猫背など姿勢の癖がついている
- 指しゃぶりが直らない
- 磨き残しを嫌がってしまう
- 硬めの食事を嫌がる
- 鼻がつまりやすい
下総中山アール歯科はパパママのお悩みの
解決のお手伝いをします。
まずはお気軽にご相談ください!


「歯科医院に電話をするのは少し勇気がいる…」「うちの子、矯正が必要なの?」
そんな親御さんのために、当院ではスマホで写真を送るだけで歯科医師からアドバイスが届く「LINE歯並び相談」を行っています。
ご来院前に、まずは専門家の意見を気軽に聞いてみませんか?

POINT01

口腔機能支援士が在籍し、歯並びだけでなく、呼吸・舌の位置・飲み込みなど、お口の正しい機能を育てます。
矯正治療とあわせて、成長発育をトータルにサポートします。
POINT02

お子さんが楽しく治療を受けられるようにするための治療スペースを作っています。また、親御さんがお子さんを連れてご自身の治療もできるよう、チェアのすぐ隣にキッズスペースを用意しています。
POINT03

小児矯正を中心に、大人の矯正・一般歯科・予防歯科まで幅広く対応。
ご家族みなさまで安心して通っていただける歯科医院を目指しています。
POINT04

顎顔面矯正、プレオルソ、ワイヤー矯正、インビザラインまで幅広く対応。
成長や症状に合わせて、適切な治療をご提案します。

下総中山アール歯科の小児歯科では、年齢やお口の状態に合わせた虫歯予防・歯磨き指導・フッ素塗布などを行っております。 治療に対する不安や緊張をできるだけ和らげ、お子さんが安心して通院できるよう心がけています。

下総中山アール歯科では、顎の成長やお口周りの機能に着目した小児矯正(顎顔面矯正・マルチファミリーなど)をご案内しています。 お一人おひとりの状態や成長段階に合わせて、矯正治療の方法をご提案しております。
出っ歯とは、上の前歯や上顎が前方に突出している状態のことを指します。
「歯がガタガタしている」「歯並びが重なっている」といった状態は、「叢生(そうせい)」と呼ばれる不正咬合のひとつです。
受け口とは、下の前歯が上の前歯よりも前に出ている状態で、「反対咬合」や「下顎前突」とも呼ばれます。噛み合わせが逆転しているため、見た目の違和感に加えて、発音や咀嚼に支障をきたすことがあります。
「顎が小さい」とは、上顎や下顎の骨が十分に発育しておらず、歯が生えるためのスペースが足りなくなる状態を指します。
専門的には「口唇閉鎖不全症(こうしんへいさふぜんしょう)」と呼ばれます。この状態が続くと、見た目だけでなく、歯並びや顔の骨格形成、さらには全身の健康にも様々な影響を及ぼす可能性があります。
通常、永久歯は乳歯の真下から生えてきて、乳歯を自然に押し出すようにして生え替わります。しかし、中には乳歯が抜ける前に永久歯が内側(裏側)から生えてくるケースがあります。これを「二重歯列」とも呼びます。
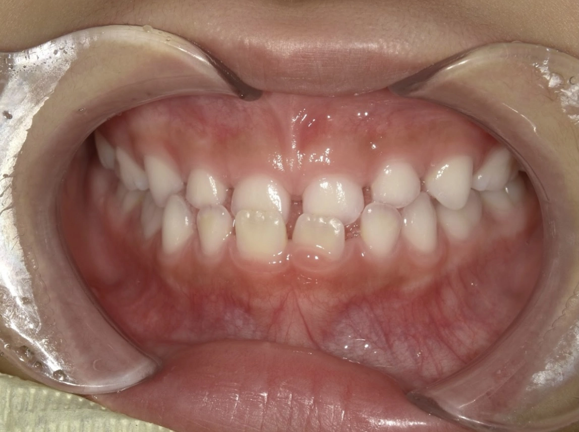
治療前

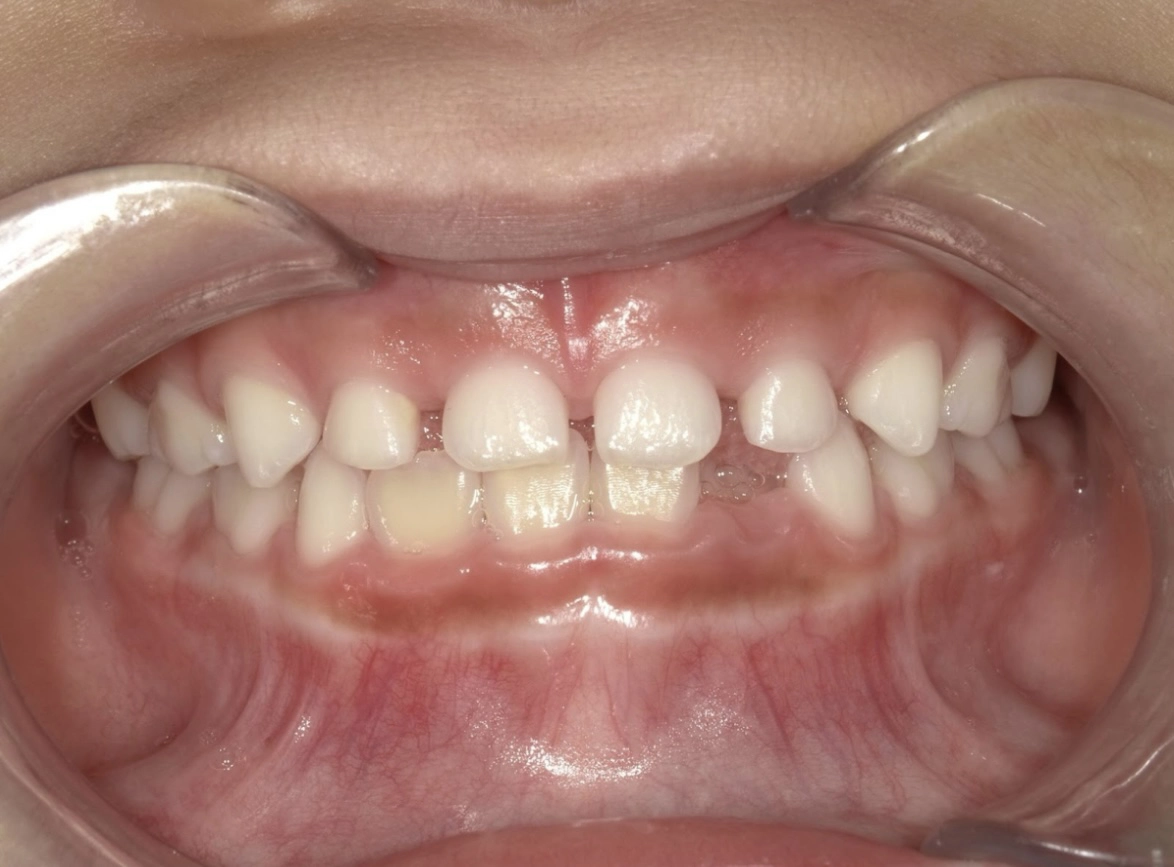
治療後

| 術名 | 小児矯正の症例 |
|---|---|
| 年齢 | 7歳 |
| 性別 | 女児 |
| 主訴 | 下の歯が出ているのが気になる |
| 診断名 | 前歯部反対咬合 |
| 治療内容 | プレオルソ |
| 治療期間 | 12ヶ月 |
| 費用 | 6万+税 ※別途月々の調整料(5500円)がかかります |
| リスク・副作用 | ご自身で着脱していただくマウスピースなので、使用時間が短いと十分な効果が得られません |
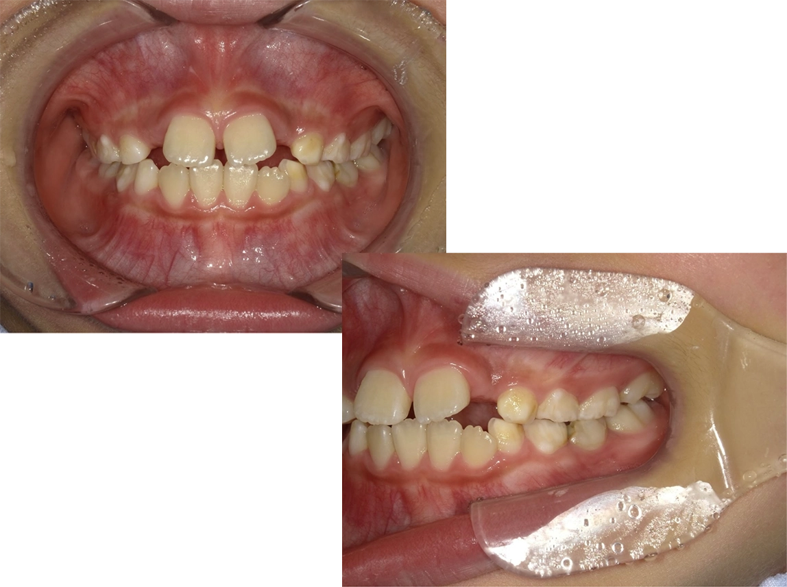
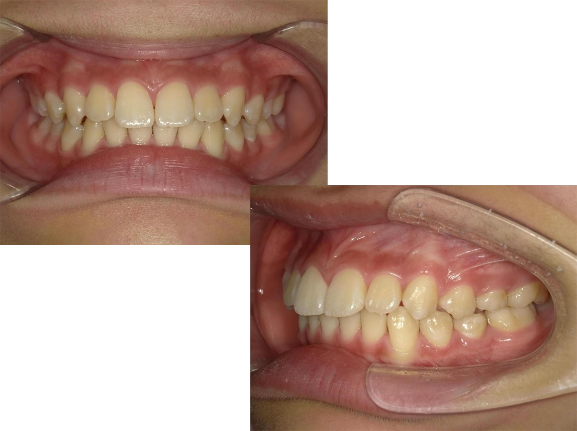
治療前

治療後

| 術名 | 小児矯正の症例 |
|---|---|
| 年齢 | 12歳 |
| 性別 | 女児 |
| 主訴 | 前歯の凹凸 |
| 診断名 | 下顎前突・叢生 |
| 治療内容 | 顎顔面矯正 |
| 治療期間 | 26ヶ月 |
| 費用 | 50万+税 ※別途月々の調整料(5500円)がかかります |
| リスク・副作用 | 疼痛・咬合違和感、等 |
お車でお越しの方
無料駐車場4台あり
電車でお越しの方
JR総武線/下総中山駅より車で4分
東京メトロ東西線/原木中山駅より車で5分