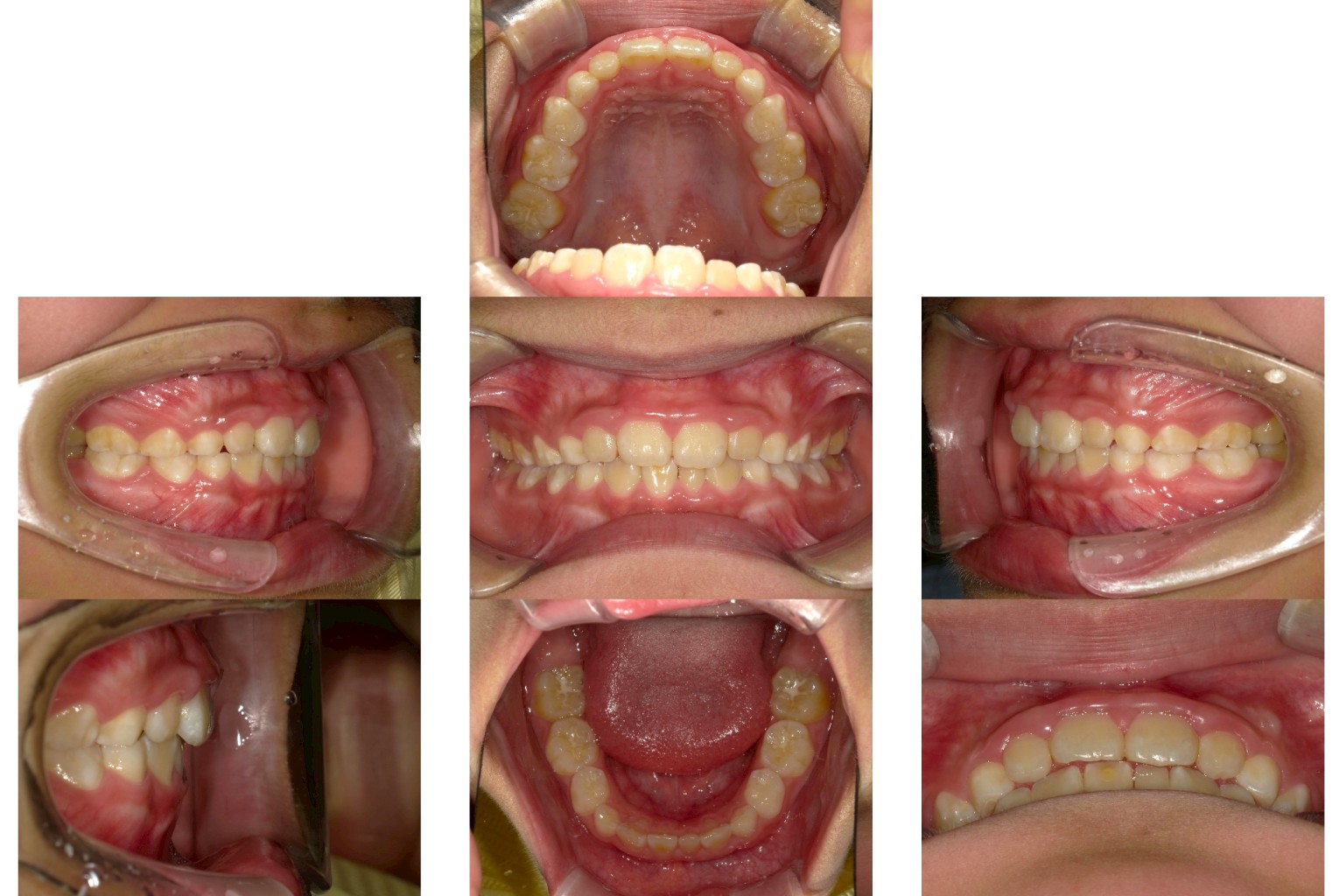
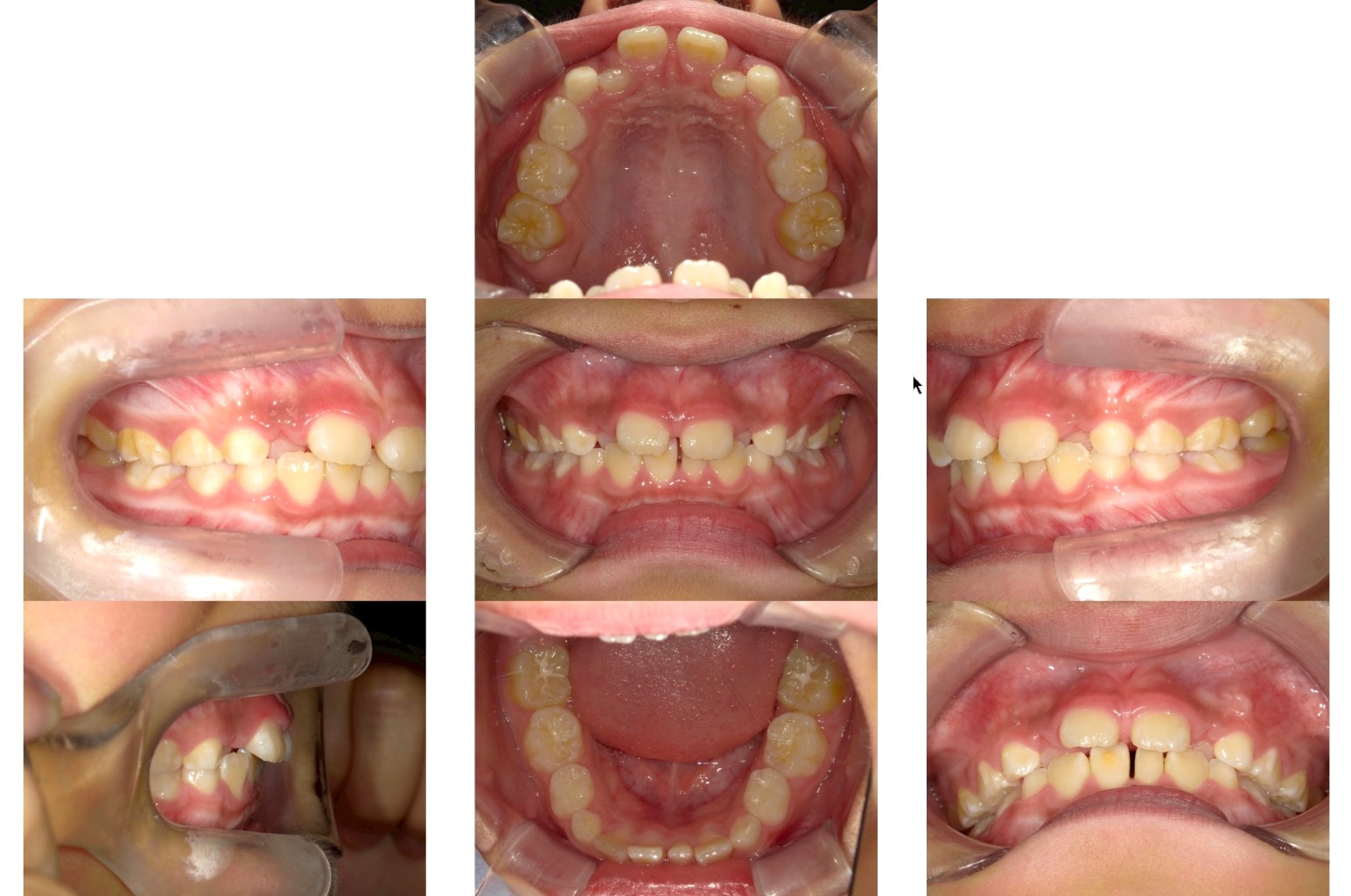
永久歯が乳歯の裏側に生えてきた
通常、永久歯は乳歯の真下から生えてきて、乳歯を自然に押し出すようにして生え替わります。しかし、中には乳歯が抜ける前に永久歯が内側(裏側)から生えてくるケースがあります。これを「二重歯列」とも呼びます。

原因要因
この現象は、永久歯が予定よりも内側から萌出した場合や、乳歯の根が吸収されにくいことが主な原因です。永久歯の生える方向やスペースの不足、顎の小ささなども関係していることがあります。
早期発見のポイント
前歯の生え変わり期(5〜7歳ごろ)に、乳歯がまだ残っているにもかかわらず、裏側から歯が生えてきているのを見つけたら、早めの歯科受診をおすすめします。上下どちらかの前歯で起きやすく、噛み合わせに影響を及ぼす場合もあります。
放置した場合のリスク
放っておくと、永久歯が正しい位置に移動できず、歯並びが乱れる原因になります。また、乳歯と永久歯が同時に存在している状態が長引くと、噛み合わせや発音に影響することもあります。
治療方法
状態によっては、乳歯を早めに抜歯して、永久歯が自然な位置に移動できるようサポートします。また、必要に応じて、顎の成長を促す矯正装置や筋機能トレーニング(MFT)を組み合わせて、歯列の整った発育をサポートします。
治療のタイミング・対象年齢
前歯の生え変わりが始まる5〜7歳頃は、特に注意が必要な時期です。この時期に永久歯の位置異常に気づければ、比較的簡単な処置で対応できる場合もあるため、歯の生え変わりに気づいたらお気軽にご相談ください。