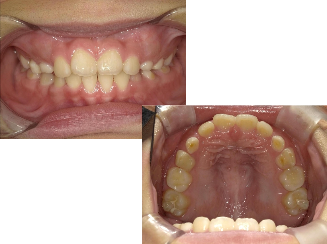
小児矯正の症例 | 前歯部反対咬合
治療前
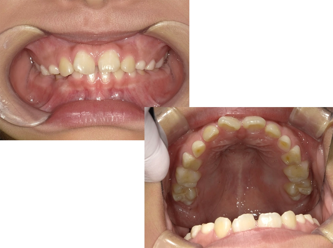
治療後
| 術名 | 小児矯正の症例 |
|---|---|
| 年齢 | 7歳 |
| 性別 | 女児 |
| 主訴 | 下の歯が出ているのが気になる |
| 診断名 | 前歯部反対咬合 |
| 治療内容 | プレオルソ |
| 治療期間 | 12ヶ月 |
| 費用 | 6万+税 別途月々の調整料(5500円)がかかります |
| リスク・副作用 | ご自身で着脱していただくマウスピースなので、使用時間が短いと十分な効果が得られません |
治療前
治療後
| 術名 | 小児矯正の症例 |
|---|---|
| 年齢 | 7歳 |
| 性別 | 女児 |
| 主訴 | 下の歯が出ているのが気になる |
| 診断名 | 前歯部反対咬合 |
| 治療内容 | プレオルソ |
| 治療期間 | 12ヶ月 |
| 費用 | 6万+税 別途月々の調整料(5500円)がかかります |
| リスク・副作用 | ご自身で着脱していただくマウスピースなので、使用時間が短いと十分な効果が得られません |
治療前
治療後
| 術名 | 小児矯正の症例 |
|---|---|
| 年齢 | 9歳 |
| 性別 | 女児 |
| 主訴 | 凹凸の歯並び |
| 診断名 | 過蓋咬合・叢生 |
| 治療内容 | プレオルソ |
| 治療期間 | 12ヶ月 |
| 費用 | 6万+税 別途月々の調整料(5500円)がかかります |
| リスク・副作用 | ご自身で着脱していただくマウスピースなので、使用時間が短いと十分な効果が得られません |
治療前
治療後
| 術名 | 小児矯正の症例 |
|---|---|
| 年齢 | 12歳 |
| 性別 | 女児 |
| 主訴 | 前歯の凹凸 |
| 診断名 | 下顎前突・叢生 |
| 治療内容 | 顎顔面矯正 |
| 治療期間 | 26ヶ月 |
| 費用 | 50万+税 別途月々の調整料(5500円)がかかります |
| リスク・副作用 | 疼痛・咬合違和感など |